| Update
2/19/04…We’re in week 19, nearly half way through the second
trimester – yikes, time flies! The pictures of me (below)
were taken at 17 and 20 weeks (more to come!).
|
||
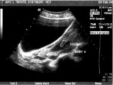
| We had our BIG ultrasound on February 9. Here are a few of the 111 pictures that were taken (everything from areas of the brain to little tiny kidneys) in our nearly 2-hour appointment (click the pictures to get a larger view – note the one where Baby A’s foot is right above Baby B’s head – so cute!!). The babies were moving so much that the tech had to literally hold them down with the ultrasound wand to get the detailed pictures she needed! Talk about uncomfortable!! Whew!! We were thrilled to hear that they’re developing perfectly – measuring in at 14cm and 9oz each!! They even bumped my due date up a week since the babies were measuring bigger than normal – music to our ears!! We’re still shooting for late June… I’d be at 36 weeks on my birthday – I’d love to share June 17 with the twins…or our anniversary June 23, or Father’s Day… ;o) We heard the heartbeats at a doctor’s appointment on 2/18 and my “theory” of their different heart rates signaling “boy and girl” was blown… In each of our past appointments there was a 10-15 beat difference between the two, but this time both were right at 160 beats per minute. I guess Reese is right – I really have no idea who’s in there! This week (2-16 to 2-20) I’ve started to really feel the babies moving! They’re especially active from 2-5 in the afternoon… makes it so hard to concentrate! I love it! I can't imagine how it's going to feel once they weigh more than 9 or 10oz each... Two 4 or 5lb kiddos in there packing on the pounds, rolling around and sticking their feet in each other's faces... Hahaha! What an image!! And the thought of them being most active at night... The adventure is only beginning!" |
||
| We
won’t have another ultrasound until April 2nd, so these pics of
the babies will be it for the Second Trimester. I’ll continue to
have Reese snap belly-pics every 3 weeks and we’ll keep you posted
on the progress!! See
the progression! |
||
![]() |
![]() |
![]() |
| Feel free to email Amy or Reese. We’d love to hear from you! |