Welcome to troutetwins.com, where you can read all about “the making of” the Troute Twins!!
It all started when we found out I was pregnant on the 5th November What a wonderful surprise!! The doctors calculate the pregnancy back to October 6, so we were already a month along, and time hasn’t slowed since!
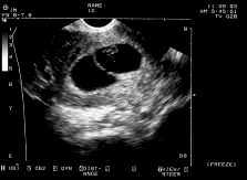
On November 26, we had the first appointment with the Doctor, and got the big news - TWINS!! Definitely the biggest surprise of my life – and it’s still a little surprising every day when I wake up and think to myself – “We’re having twins!!” (The ultrasound at the top right is from our first visit at 7.5 weeks – you can see the two amniotic sacs – amazing!)
These three pictures were taken within six weeks of each other – December 9, December 24 and January 17. Talk about a quickly expanding belly!! The best part? No morning sickness!! I was VERY tired throughout the first trimester, and my sciatic nerve continues to stop me in my tracks every so often, but I’m enjoying being pregnant so far. Ask me again in the Second and Third trimesters…
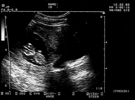
Baby A and Baby B pictures from the December 22 ultrasound are shown here at 11 weeks. Our next ultrasound is February 9, when an ultrasound technician (rather than the doctor) takes a detailed look at all the babies’ vital organs and makes sure they’re both on track. We’re so looking forward to seeing them again – but are ABSOLUTE about keeping their sexes a surprise!
Enjoy the next 6 months!!

Note from Daddy:
Well once the shock wore off I was extremely excited about having twins. I am hoping for identical's but there are benefits to having a boy and a girl but two boys would be great, but so would two girls...ah crap...

Marcus is as excited as a 9 year old gets I guess. He has said he is looking forward to being a big brother and teaching them how to play Tony Hawk (video game).

 

Feel free to email Amy or Reese. We’d love to hear from you!